Симптомы и признаки шизоаффективного психоза
Симптомы заболевания разнообразны и обычно состоят в резких перепадах настроения, возникновении галлюцинаций, рассеянности. Симптоматика может быть выражена ярко или довольно слабо.
Существует три формы проявления заболевания:
- В первом случае симптоматика болезни проявляется при приподнятом настроении. Больной может высказывать мысли о величии, супервозможностях на фоне суеты или веселья.
- Второй тип имеет депрессивный характер. Здесь, к отсутствию настроения добавляются ипохондрические идеи, мысли о саморазрушении, чувство вины и так далее.
- Третий, смешанный, тип характеризуется сменой настроения от чувства вселенского счастья к грусти и полной апатии.
Отсутствие эмоций и чувств при деперсонализации и дереализации
Возможно ли у человека отсутствие эмоций и чувств, которые с детства являются той базой, которая и формирует личность, позволяет ей получать опыт и осуществлять ежедневное познание мира? Психиатрическая практика показывает, что такое возможно и у человека действительно могут возникать условия и предпосылки для того, чтобы привычные чувства и эмоции, и даже, не только такие как радость, грусть, сопереживание, восхищение, симпатия и тому подобное, но и самые банальные, базовые такие как чувство осязания, обоняния пропадали или искажались.
Полное отсутствие чувств и эмоций — это часть симптомов, которые описывают люди, страдающие такими серьезными расстройствами психики, как деперсонализация и дереализация.
Причины отсутствия эмоций лежат в глубинных механизмах, происходящих в организме человека, когда вследствие определенных изменений в его функционировании нарушаются связи между рецепторами и участками головного мозга, отвечающими за формирование чувств и эмоций. Это может являться следствием таких состояний и заболеваний как: интоксикационное поражение ЦНС, дисбаланс химических соединений в организме, вызывающий нехватку серотонина, дофамина, ацетилхолина, органические заболевания мозга, эпилепсия в анамнезе, эндокринные заболевания, депрессия, новообразования в головном мозге, хронический прием алкоголя или наркотических веществ, инсульт, травмы головы и т. п.
Иногда состояние некоей эмоциональной бесчувственности и заторможенности, когда все краски жизни, привычные чувства и эмоции, возникает в качестве защитной реакции на стресс, потрясение, психологическую травму и в данном случае это является нормальным. Такое состояние проходит со временем, не нуждается в лечении и наблюдении и призвано защитить психику от травмирующего воздействия стресса.
Однако, если подобное состояние полного отсутствия чувств и эмоций возникает без видимых причин, без предварения его реальной травмирующей ситуацией, то в этом случае оно является симптомом наличия какого-либо соматического заболевания или другого психического расстройства.
 
Отсутствие чувств, эмоций и желаний может приобретать разные формы, в зависимости от того, какая доля мозга поражена и не способна выполнять свою основную функцию. Изменения могут коснуться как притупления физических ощущений (например, человек перестает воспринимать цвета, видит все в сером цвете, у нег притупляется чувство боли, вплоть до того, что он специально травмирует себя, у него нет чувствительности к температуре, отсутствует чувство голода и т. п.), так и эмоциональной и когнитивной сферы, когда человек оказывается неспособным сопереживать даже близким, причем притупление чувств касается не только положительных эмоций, например, чувства радости, но и негативных — он становится невозмутимым, не ощущает ни гнева, ни агрессии.
В ряде случаев может наступить практически полная дезориентация, больной перестает хотеть чего-либо вообще, у него искажается чувство времени, он не знает, какой день и год, у него отсутствует мотивация что-либо делать. В таком состоянии человек теряет свою социальную функцию, перестает выполнять профессиональные обязанности, от чего страдают окружающие.
Для того, чтобы успешно справиться с данным состоянием, необходимо лечить не сколько его, сколько направить силы на борьбу с основным заболеванием, которое вызвало данное состояние. Если оно является неизлечимым, то для снижения выраженности симптомов и достжения ремиссии применяется сочетание терапевтического воздействия с психотерапевтическими методиками, приемом некоторых медикаментозных средств. В любом случае, такому пациенту необходима консультация и лечение под руководством врача-психотерапевта.
В клинике РОСА в Москве проводится комплексное лечение отсутствия чувств и эмоций в том числе в условиях комфортабельного стационара. Врачи используют весь спектр доступных средств и достигают успехов в лечении психических расстройств разной тяжести.
1-местная VIP-палата
33 000 руб/сут
Размещение в палате:
Варианты размещения: 1 чел.
Возможность размещения с родственником*: +
(*дополнительная оплата в размере 80% от стоимости размещения)
Ванная комната:
Душ: +
Санузел: +
Банные полотенца: +
Гигиенические средства: +
Тапочки: +
Халаты: +
Косметические средства: +
Интернет/ телевидение:
Телевидение: +
WI-FI: +
Мебель:
Медицинская кровать: —
Спальная кровать: +
Медицинский матрас: —
Ортопедический матрас: +
Шкаф для одежды: +
Индивидуальная тумба: +
Вешалки: +
Письменный стол: +
Кресло: +
Электроника:
Телевизор: +
Холодильник: +
Настольная лампа: +
Прочее:
Особенности лечения депрессивного состояния
Схема лечения послеродовой депрессии определяется индивидуально. Во многом это зависит от индивидуальных особенностей пациентки, тяжести ее состояния и типа расстройства.
Самый легкий вид послеродовой депрессии – хандра, обычно проходит самостоятельно. Она редко длится дольше 2-3 недель. Чтобы справиться с этим состоянием, женщине необязательно обращаться за помощью к специалистам. Достаточно больше отдыхать, принимать помощь от родных. Полезны прогулки на свежем воздухе в окружении других мамочек. От них можно получить поддержку и полезную информацию по уходу за ребенком.
Категорически запрещено употреблять алкоголь. Даже если вы не кормите ребенка грудью, помните, что спиртные напитки только усугубят ваше состояние, провоцируя усиление перепадов настроения.
Помощь психотерапевта будет эффективной при любых видах психических расстройств. Но при появлении симптомов послеродовой депрессии к такому специалисту нужно обратиться как можно быстрее. Консультации могут быть как индивидуальными, так и групповыми. Нередко работа проводится с мужем пациентки или другими близкими родственниками. В результате удается восстановить не только душевное здоровье молодой мамы, но и наладить отношения в семье.
Нередко в процессе лечения депрессии, возникшей в послеродовый период, применяются различные медикаменты:
- Антидепрессанты показали высокую эффективность. При выборе конкретного препарата учитывается не только физическое состояние женщины, также оценивается риск побочных эффектов для ребенка, если он находится на грудном вскармливании. Сегодня существуют медикаменты, разрешенные для приема кормящими женщинами. Но их должен назначать врач.
- Гормональная терапия позволяет нормализовать уровень эстрогена в организме женщины. Уже после нескольких инъекций некоторые симптомы исчезают полностью или становятся менее выраженными.
Если обратиться к врачу своевременно, то послеродовую депрессию можно вылечить за пару месяцев
Если курс терапии включает прием медикаментов, то важно пройти его полностью. Не стоит отказываться от приема рекомендованных врачом лекарств после некоторого улучшения, так как в дальнейшем это может привести к рецидиву
Лечение крайней степени послеродовой депрессии, как правило, осуществляется в условиях стационара. С пациенткой работает несколько специалистов, которые помогают ей решить психологические проблемы, устранить гормональные нарушения, наладить душевное и физическое здоровье.
Схема лечения обычно включает в себя прием препаратов, направленных на стабилизацию настроения, антидепрессантов и антипсихотических средств.
Следует знать, что в ходе терапии утрачивается способность кормить ребенка грудью. Прежде всего, это связано с вынужденной разлукой мамы и ребенка, а также приемом лекарственных средств, представляющих угрозу здоровью маленького человека.
Течение маниакально депрессивного психоза
Согласно проведенных исследованиям течение МДП в 70% случаях происходит в неглубоких аффективных фазах, ухудшения развиваются только в 30%. Проявляется заболевание в строго конкретные промежутки, например, обострения могут быть связаны с временами года, либо приурочены к определенным событиям в жизни человека. Если течение проявляется в качестве биполярного расстройства, то могут быть сдвоенные фазы, чередующиеся небольшими просветлениями. Также может происходить вариация, когда сменяется депрессивное состояние просветлениями, затем наступает маниакальная фаза и снова происходит стабилизация.
Чаще всего депрессивное состояние в хронической форме появляется к наступлению зрелого возраста. Длительность нередко варьируется в диапазоне 10-15 лет. Но не стоит исключать вероятность, что человек сможет выйти из данного состояния. Нередко депрессии называют «застывающими», когда состояние в одной и то же поре сохраняется на протяжении определенного времени.
Виды
Выделяют острые и затяжные формы сосудистых психозов, которые возникают на фоне уже имеющихся непсихотических психических расстройств сосудистого происхождения – псевдоневрастенические проявления и явления интеллектуального снижения той или иной степени (сосудистая деменция). Однако вначале необходимо упомянуть о симптомах, которые могут служить предвестниками сосудистого психоза: нарастающие головные боли, усиливающийся шум в ушах, онемение отдельных участков лица, нарушения координации движений, головокружение, трудности засыпания, неустойчивое настроение со слезливостью и раздражительностью (слабодушие). Речь становится заплетающейся, малопонятной. Могут появиться тревожные опасения ипохондрического содержания (страх смерти или убежденность в наличии смертельного заболевания). Больные могут становиться более неряшливыми, прожорливыми, иногда – и сексуально расторможенными.
Острая форма
Острая форма проявляется в первую очередь явлениями спутанности сознания с дезориентировкой во времени, окружающей обстановке, не узнавании окружающих, нередко — психомоторным возбуждением, наплывами зрительных и слуховых галлюцинаций (по сути, сосудистый делирий). Чаще всего развивается в вечерние или ночные часы, днем сознание ясное. Длится обычно несколько часов, после острого периода развивается амнезия – больные не помнят, что делали во время обострения. Это состояние склонно к рецидивированию – многократному повторению, если пациенту не оказывается необходимая терапия. Очень часто фабула переживаний такова: пациент считает, что он в гостях (больнице, гостинице), и ночью он начинает собираться домой, при невнимательном отношении со стороны близких больной действительно может уйти из дома и потеряться. В сюжетах галлюцинаций часто фигурируют встречи с умершими родственниками. Дополнительными провоцирующими психоз факторами может являться прием некоторых лекарственных препаратов (сердечно-сосудистые, снотворные, корвалол или валокордин, ряд ноотропов), лихорадка, резкие колебания артериального давления в любую сторону, сахарный диабет. Сосудистый делирий некоторые авторы рассматривают как один из предвестников скорого инсульта.
Затяжные сосудистые психозы
Затяжные психозы могут развиваться как переход из острого состояния, так и самостоятельно. Переход в затяжной психоз из острого состояния может происходить через серию судорожных приступов, через развитие корсаковского психоза с грубыми нарушениями памяти (невозможность фиксировать происходящее, замещение выпадений памяти ложными воспоминаниями), растерянностью, через развитие псевдопаралитического состояния с беспечностью, дурашливостью, нелепыми поступками и идеями величия либо через выраженную астению (нервно-психическое истощение).
Затяжные сосудистые психозы чаще всего протекают как различные варианты галлюцинаторно-бредового синдрома, то есть основное содержание болезненных переживаний – галлюцинации и связанные с ними бредовые идеи (ложные утверждения, не поддающиеся разубеждению). Реже они протекают в форме депрессии психотического уровня (с тревогой или без) – больные ощущают глубокую греховность, за которую нет прощения либо чувство того, что они уже фактически умерли и их организм уже начал разлагаться (бред Котара). При различных формах сосудистых поражений головного мозга у больных наблюдаются разные дополнительные симптомы.
Фазы маниакально депрессивного психоза
Принято выделять несколько фаз МДП:
- Депрессивная. Как правило, характеризуется разочарование в окружающих людях и себе, человек зачастую может замирать в одной и той же позе, появляется предчувствие, которое не обосновано никаким событиями, человек не надеется, что в будущем его ожидают какие-либо позитивные изменения, постоянные нарушения в приемах пищи и сне
- Маниакальная. Предполагает противоположную динамику, которая проявляется в необоснованной позитивной энергии, самоуверенность и нереалистичная оценка собственных сил, навыков и умений, чрезмерная инициатива.
Как правило, заболевание развивается постепенно и не предполагает резких скачков. Однако если симптоматика сохраняется продолжительное время, целесообразно обратиться к специалисту за консультацией, диагностикой и лечением.
Виды психозов
Причины возникновения психоза напрямую влияют на его классификацию. Итак, выделяют следующие разновидности расстройств психики:
- эндогенные явления – возникают вследствие влияния на человека биполярных расстройств, депрессивных факторов, нейроэндокринных явлений;
- экзогенные явления – возникают под воздействием разнообразных внешних факторов, а также из-за приема наркотических препаратов, тяжелых стрессов;
- органические явления – возникают вследствие соматических патологий, например, инфаркта миокарда, травм головы и инфекционных заболеваний.
Деление можно назвать условным, поскольку иногда на возникновение психоза влияет сразу несколько факторов. В результате человек сталкивается с серьезными расстройствами психики, которые приводят к разнообразным проблемам.
Маниакальная стадия
Основной признак мании – повышенное возбуждение, сопровождаемое переизбытком энергии с беспокойством и гиперактивностью. Оно дополняется раздражительностью.
Настроение у человека в данный период доходит до стадии эйфории. Мышление становится беспорядочным. У больного появляется нескончаемый поток идей, полет мысли, речь ускоряется. Он говорит много, но суть уловить сложно, новая мысль рождается на услышанное слово, но не на его смысл.
У человека развивается мания величия с переоценкой своих возможностей, способностей: хватается за несколько дел сразу, не доводя ни одно до конца
Внимание рассеивается: больной постоянно отвлекается, сложно концентрируется на определенной задаче
Резко уменьшается потребность во сне. Маниакалы ведут беспорядочный образ жизни, расточительствуют, предаются разгулу. Типичным является злоупотребление алкоголем, чаще – наркотиками. Больные агрессивны, вульгарны, ведут себя провокационно. Резко снижена способность рационально оценивать ситуацию, из-за чего вовлекаются в авантюрные дела, бесконтрольно тратят деньги, увлекаются азартными играми, осуществляют массу ненужных покупок.
От 25 до 80% больных в маниакальной фазе проявляют гиперсексуальность. Биполярники отмечают, что становятся ненасытными в сексуальном плане, вроде наркомана, требующего увеличения дозы.
Девушка объясняет свое состояние в момент мании: я не бываю удовлетворена. Приходится постоянно контролировать себя, чтобы противостоять желаниям тела. Если ослабить контроль, могу натворить много глупостей, что скажется на моей семейной жизни.
В маниакальный период человек забывает о работе, семье. Отсутствие самокритики с гипертрофированной жаждой деятельности предрасполагают к навязчивому поведению. Ощущение своего всемогущества приводит к мнению, что люди относятся к больному несправедливо, недооценивают его.
Индивиды в маниакальной стадии отрицают неадекватность своего поведения. Наряду с эйфорией, у отдельных маниакалов формируются дискомфортные ощущения. На первый план выходит раздражительность, беспокойство. Человек ощущает себя неуютно.
Мания диагностируется, когда вышеперечисленные симптомы сохраняются больше недели, проявляясь ежедневно большую часть суток. Обязательно наличие повышенной раздражительности в сочетании с еще четырьмя дополнительными симптомами.
Мужчина, 28 лет: «Множество мыслей мелькает с невероятной скоростью от ясности до полного затмения. Невозможно уследить за их ходом. Память подводит. Все вокруг раздражает, злит и пугает одновременно. Теряется контроль над собой, появляется ощущение тупика. Знакомые смотрят с недоумением, опасаются, сторонятся».
Поведение больного в маниакальной стадии можно рассмотреть на примере американской спортсменки Сьюзи Хэмилтон. В возрасте 40 лет, имея семью, детей, являясь участницей Олимпийских игр, девушка внезапно отправляется в Лас-Вегас. Здесь спортсменка предоставляет эскорт-услуги. За день Сьюзи обслуживала до четырех клиентов, предаваясь сексу без ограничений. Злоупотребляла алкоголем, принимала легкие наркотики. После курса терапия женщина вернулась домой к привычной жизни.
Как самостоятельно справиться первыми признаками расстройства
Послеродовая депрессия встречается часто, но далеко не каждая женщина страдает от этого психического расстройства. В качестве профилактики развития депрессивных расстройств можно использовать такие приемы:
- реально оценивайте свои силы. Если поручить ежедневное приготовление пищи некому, то постарайтесь облегчить этот процесс. Приобретайте качественные полуфабрикаты от проверенного производителя. Тогда вы сможете выделить некоторое время для себя;
- постарайтесь высыпаться. Укладывая малыша днем спать, ложитесь вместе с ним;
- не забывайте о своих увлечениях. Конечно, новорожденный ребенок находится в центре вашего внимания, но не позволяйте себе ограничиваться себя только стиркой пеленок и приготовлением каши;
- прием витамина С и кальция может помочь не хуже антидепрессантов. Организм мамы испытывает большую потребность в этих микроэлементах;
- не храните в себе свои эмоции. Многие женщины ошибочно полагают, что все и так должны знать, что с ними происходит. Но это совсем не так, особенно если речь идет о мужьях. Большинство мужчин не догадываются, что творится в душе женщины, недавно родившей ребенка. Делитесь своими переживаниями с близкой подругой или сестрой – хороший слушатель может выполнить роль психотерапевта;
- танцы и музыка могут стать отличным способом для отдыха и расслабления, тем более, что делать это можно с ребенком на руках. Такое времяпрепровождение наполнит положительными эмоциями маму и малыша, сблизит их;
- старайтесь больше времени проводить на свежем воздухе.
Пересмотр своих обязанностей в сторону их уменьшения, а также более рациональное планирование дня позволит женщине выделить время для отдыха или любимого занятия.
1-местная VIP-палата
33 000 руб/сут
Размещение в палате:
Варианты размещения: 1 чел.
Возможность размещения с родственником*: +
(*дополнительная оплата в размере 80% от стоимости размещения)
Ванная комната:
Душ: +
Санузел: +
Банные полотенца: +
Гигиенические средства: +
Тапочки: +
Халаты: +
Косметические средства: +
Интернет/ телевидение:
Телевидение: +
WI-FI: +
Мебель:
Медицинская кровать: —
Спальная кровать: +
Медицинский матрас: —
Ортопедический матрас: +
Шкаф для одежды: +
Индивидуальная тумба: +
Вешалки: +
Письменный стол: +
Кресло: +
Электроника:
Телевизор: +
Холодильник: +
Настольная лампа: +
Прочее:
Что делать при остром психозе
Сперва необходимо попробовать уговорить его посетить врача-психиатра, что часто не удается. Если видно, что родственник не хочет идти на прием, настаивать не нужно, это может обострить Ваши отношения.
Пригласите доктора домой, опытному врачу хватит нескольких минут общения с пациентом, чтобы определить тяжесть состояния и наметить тактику дальнейших действий.
Если же ситуация вышла из-под контроля, больной агрессивный, возбужденный, не реагирует на обращенные к нему слова, необходимо вызвать бригаду скорой психиатрической помощи, которая поможет положить пациента в больницу.
В настоящее время функционируют, в том числе платные бригады, которые помогают с госпитализацией в частную клинику, а это значит, что Ваш близкий человек не попадет на учет в психоневрологический диспансер, с которого сняться крайне проблематично.
В последствие будет очень сложно получить водительские права или справку на работу, даже если болезнь давно отступила.
Подводя итог вышеизложенному, хочется сказать о том, что, чем раньше будет начато лечение острого психотического состояния, тем лучше прогноз и выше вероятность, что Ваш родственник не станет инвалидом по психике.
Стандартная палата
11 000 руб/сут
Размещение в палате:
Варианты размещения: от 2 до 5 чел.
Возможность размещения с родственником*: —
(*дополнительная оплата в размере 80% от стоимости размещения)
Ванная комната:
Душ: +
Санузел: +
Банные полотенца: +
Гигиенические средства: +
Тапочки: —
Халаты: —
Косметические средства: —
Интернет/ телевидение:
Телевидение: +
WI-FI: +
Мебель:
Медицинская кровать: +
Спальная кровать: —
Медицинский матрас: +
Ортопедический матрас: —
Шкаф для одежды: +
Индивидуальная тумба: +
Вешалки: +
Письменный стол: —
Кресло: —
Электроника:
Телевизор: +
Холодильник: +
Настольная лампа: +
Прочее:
Почему расстройства психики более распространены среди пожилых людей
У современной медицины есть возможности оптимизировать работу нервной системы даже очень пожилого человека. Встречаются люди и старше 80 лет без каких-либо признаков деменции или «старческого склероза». Старость – не болезнь. Деменция (старческое слабоумие или старческий маразм) и возрастная депрессия – это заболевания со своими четко определяемыми причинами и возможностями лечения.
Нервная система пожилого человека имеет ряд особенностей.
- Недостаточное кровоснабжение мозга. С возрастом сосуды, в том числе и сосуды мозга, становятся менее эластичными, внутри сосудов появляются «пробки» – атеросклеротические бляшки. Мозг оказывается в состоянии дефицита кровотока и питания. А клетки мозга весьма «прожорливы» и в условиях дефицита питания работают хуже, а затем гибнут. В этот период часто появляются своеобразный старческий эгоизм и бессонница.
- Замедленное обновление клеток мозга. Чем старше мы становимся – тем медленнее идет процесс обновления, тем более в условиях сниженного кровотока.
- Изменение биохимических процессов в головном мозге. Электрический импульс передается с одной нервной клетки на другую с участием особых химических веществ – нейромедиаторов. К ним относятся, например, серотонин, дофамин, норадреналин. У пожилых людей способность к выработке и накоплению этих веществ снижается. Поэтому страдает проведение нервных импульсов, и, как следствие, ослабевает общая продуктивность работы мозга, возникают отклонения в поведении, эмоциональной, психической и двигательной сферах.
Наша задача на стадии обследования – однозначноопределить доминирующую причину страдания мозга,тогда наше лечение попадет точно по назначению.
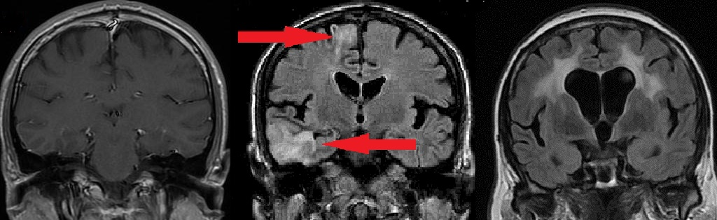
Два случая сосудистой деменции (старческого маразма) из нашей практики. Симптомы похожи, а лечение требуется различное.
 МР-томография головного мозга. Мозг выглядит серым, цереброспинальная жидкость – черной, пострадавшие участки мозга – белыми.
МР-томография головного мозга. Мозг выглядит серым, цереброспинальная жидкость – черной, пострадавшие участки мозга – белыми.
- СЛЕВА – нормальный мозг.
- В ЦЕНТРЕ – мозг частично замещен на жидкость, стрелками обозначены очаги сниженного кровообращения. Причина – образование тромбов из-за нарушений ритма сердца + попадание этих тромбов в мозг.
- СПРАВА – масса мозга всерьез уменьшена с замещением на жидкость, белые пятна – область массовой гибели клеток мозга. Причина – сужение сонных артерий на 75% и 80% холестериновыми бляшками.
Цена услуги
-  СТАЦИОНАР- Дневной стационар5 000
- Дневной стационар с интенсивной терапией8 000
- Круглосуточный стационар (все включено, стоимость за сутки)11 000
- Круглосуточный стационар (все включено, стоимость за сутки). Одноместное размещение22 000
- Круглосуточный стационар (все включено, стоимость за сутки). Одноместное размещение в палате повышенного комфорта33 000
- Первичное семейное консультирование для родственников пациентов, находящихся на стационарном лечениибесплатно
- Групповая психотерапия для родственников пациентов, находящихся на стационарном лечениибесплатно
- Групповая психотерапия для пациентов круглосуточного и дневного стационарабесплатно
 
Депрессивный психоз – грубое нарушение поведения, требующее помощи врача психиатра.
Как избавиться самостоятельно
Самостоятельно избавиться от тревожного расстройства удается мало кому. Это заболевание, его нужно лечить, а не ждать пока “само пройдет” или пытаться самостоятельно с ним бороться. Но существуют много способов, позволяющих на время снизить тревогу, оборвать паническую атаку, уменьшить напряжение и чувство страха. К ним относят: аутотренинги, водные процедуры (утром холодный душ, вечером — теплая ванная), отказ от спиртного, физические упражнения (“интенсивная зарядка”), нормализация режима дня и цикла сон-бодрствование, духовное развитие, личностный рост и др.
Советы психологов как справиться с тревогой и паникой смотрите ЗДЕСЬ.
Лечение тревожного расстройства в Клинике РОСА:
- Работаем круглосуточно.
- Выявляем истинные причины тревоги и индивидуально подбираем помощь (психологическую, медикаментозную, физиотерапевтическую).
- Принимаем в клинике в Москве, выезжаем на дом, при необходимости госпитализируем в собственный стационар.
- Анонимно и конфиденциально. Не ставим на учет.
- Опытные и деликатные психиатры, психотерапевты и психологи.
Лечение депрессивного психоза в клинике РОСА
- Лучшие специалисты в области восстановления психического здоровья.
- Собственный стационар санаторного типа. Помощь при госпитализации.
- Работаем круглосуточно. Принимаем по обращению родственников и близких.
- Прозрачное и предсказуемое ценообразование. Стационарное лечение проводится по системе все включено (ни за какие “доп” услуги доплачивать не придется).
- Полное обследование психической сферы и нервной системы, все виды анализов.
- Психологическая помощь – психотерапия.
- Медикаментозная терапия, физиотерапия, массаж, лечебная физ.культура, диетотерапия.
- Уникальные реабилитационные программы после выхода из состояния психоза.
Диагностика
Точно диагностировать ананкастное расстройство личности доступно только специалисту
При постановке диагноза учитываются общие критерии расстройства личности, а также берутся во внимание специфические симптомы. Должно иметься не менее трех признаков из этого списка:
 Необоснованная тревожность и осторожность, сложный выбор даже в малозначительных вопросах.
 Патологический перфекционизм, из-за стремления к совершенству мешающий довести дело до конца.
 Тугоподвижность мышления, в психиатрии называемая ригидностью.
 Сосредоточенность на деталях, чрезмерная педантичность и приверженность условностям.
 Повышенное чувство ответственности на работе, из-за чего страдают семейные отношения, а также нежелание делить свои обязанности с другими людьми из-за их неготовности действовать таким же образом.
 Навязчивые действия и мысли: от мимики до манеры, к примеру, носить определенную одежду в какие-то дни. Навязчивые действия совершаются неосознанно, хотя со стороны кажутся ритуалом
Если нет возможности провести желаемое действие, больной чувствует сильную тревогу.
Причины ананкастного расстройства личности могут быть как генетическими, так и социальными. Это не болезнь, но тяжелое психическое расстройство, которое человек не может контролировать самостоятельно, и помощь специалиста ему просто необходима. Неконтролируемое ананкастное расстройство личности способно серьезно испортить жизнь.
Что интересно, в компенсированном состоянии ананкасты считаются и являются ценными перспективными сотрудниками. Но достичь профессиональных успехов они могут только при гармоничных дружеских и семейных отношениях.
Лечение
Основная цель лечения – компенсация состояния ананкаста, поскольку это достаточно тяжелое отклонение в развитии личности. Излечить его полностью может быть невозможно.
Базовым методом является психотерапия, которая помогает скорректировать поведение пациента и помочь ему жить полной жизнью. Медикаментозная терапия включает прием анксиолитиков, антидепрессантов, нейролептиков и обычно необходима в запущенных случаях, когда пациент долго не получал лечения. Дополнительные методы лечения: БОС-терапия, физиолечение, диетотерапия, ЛФК и др.
При отсутствии лечения есть риск срывов, серьезно усложняющих жизнь ананкасту и его близким. Прогнозы при лечении ананкастного расстройства личности благоприятны, поэтому, если Вы обнаружили его признаки у близкого человека, не стоит откладывать обращение к специалисту.
Наши услуги
Врачи психиатрической клиники «РОСА» предлагают Вам эффективное лечение ананкастного расстройства личности. Мы делаем упор на психотерапевтические методы и применяем медикаментозное лечение в исключительных случаях, при обоснованной необходимости. Обычно оно необходимо в период обострения – для снятия симптомов, мешающих психотерапии.
Предлагаем помощь в различных форматах – от очной консультации и консультации по скайпу до стационарного лечения в уютной домашней обстановке. Мы беремся за самые сложные случаи благодаря высокой квалификации штатных психиатров, неврологов и психологов.
Стоимость лечения зависит от состояния пациента. Поэтому чем раньше Вы обратитесь к психотерапевту, тем быстрее справитесь с проблемой.
Что делать родственникам женщины, страдающей послеродовой депрессией
Издавна у многих народностей существовала традиция, когда в дом к родившей женщине на месяц приезжали близкие родственники. Мама, сестра или тетя брали на себя всю работу по хозяйству, давая возможность роженице восстановиться после родов. Сегодня такое встречается редко, но, все же, помогать молодой маме нужно.
Еще задолго до родов можно договориться о том, как разделить обязанности по хозяйству между членами семьи. Не стоит слишком критиковать родившей недавно женщины, и уже тем более не стоит упрекать ее в чем-то, называть слабохарактерной, беспомощной или ленивой. Помните, что она в этот период нуждается в утешении и ласке.
Особо внимательным к родившей жене должен быть ее супруг. Прежде всего, это касается интимной стороны жизни. Довольно часто в послеродовый период женщины испытывают отвращение к сексу, но не стоит давить на нее и принуждать к близким отношениям. Врачи не рекомендуют вступать в интимную близость 1-1.5 месяца по физиологическим причинам. Но в тоже время, секс может помочь выйти из депрессивного состояния. Только он должен быть по обоюдному желанию.
Преимущества лечения в нашей клинике
- Госпитализируем в стационар. Если пациент опасен для себя и окружающих, не осознает наличие проблем и отказывается лечиться, высылаем бригаду на дом. Санитары доставляют больного в клинику принудительно при согласии родственников. Имеем все необходимые лицензии для этого.
- Лечим в стационаре. Размещаем в стационаре, если нет возможности лечиться на дому. Обеспечиваем постоянный присмотр, приставляем к пациентам санитаров или медсестер.
- Обеспечиваем комфортные условия. Лечим в комфортных общих и индивидуальных палатах с современным ремонтом, отоплением, новой удобной мебелью.
- Подбираем терапию индивидуально. Оцениваем состояние пациента, длительность болезни и количество рецидивов. Подбираем терапию с учетом общего состояния здоровья, эффективности предыдущего лечения.
Чтобы записаться на консультацию врача или задать вопросы по хроническому психозу, позвоните нам или воспользуйтесь формой обратной связи.
Старческое слабоумие, деменция и сосудистый психоз
При серьезных нарушениях кровообращения возникают и более тяжелые отклонения в нервной системе, проявляющиеся деменцией: старческим слабоумием или маразмом. Это состояние развивается при гибели значительной части нервных клеток в лобных долях мозга. Здесь располагаются центры, обеспечивающие высшие психические функции.
Возможные симптомы:
- Нарушения поведения, страх, агрессия, старческий эгоизм;
- Снижение настроения, тревога, беспокойство;
- Нарушение сна (трудно заснуть, ранее пробуждение, прерывистый сон, ночные походы в туалет);
- Значительное ухудшение мышления, логики, памяти, а затем и дезориентация в пространстве, времени, собственной личности.
Сосудистый психоз является крайним проявлением сосудистой недостаточности головного мозга. Он связан с дезорганизацией работы мозга и быстрой потерей нервных клеток из-за недостатка питания. Поведение пожилого человека становится неконтролируемым, возможны галлюцинации, бред, возбуждение, уход из дома.
Здесь важно подобрать удачную комбинацию сосудистых и психотропных препаратов, поэтому мы предложим Вам помощь невролога и психиатра
ВНИМАНИЕ! Рискованно применять у пожилых пациентов (особенно с деменцией т.е. старческим маразмом) ряд распространенных препаратов:
- Циннаризин (стугерон, фезам, омарон) из-за риска развития паркинсонизма;
- Ноотропил (пирацетам) из-за риска возбуждения, тревоги, бессонницы, психоза;
- Транквилизаторы, как Феназепам, Алпразолам, Валокордин при длительном приеме снижают память и интеллект.
Чем раньше начато лечение, тем большее количество клеток мозга удается сохранить, и меньше усилий придется приложить для восстановления нормального самочувствия.













































